Metamorfozy
Każdy uśmiech jest unikatowy i jest specjalnie projektowany pod daną osobę
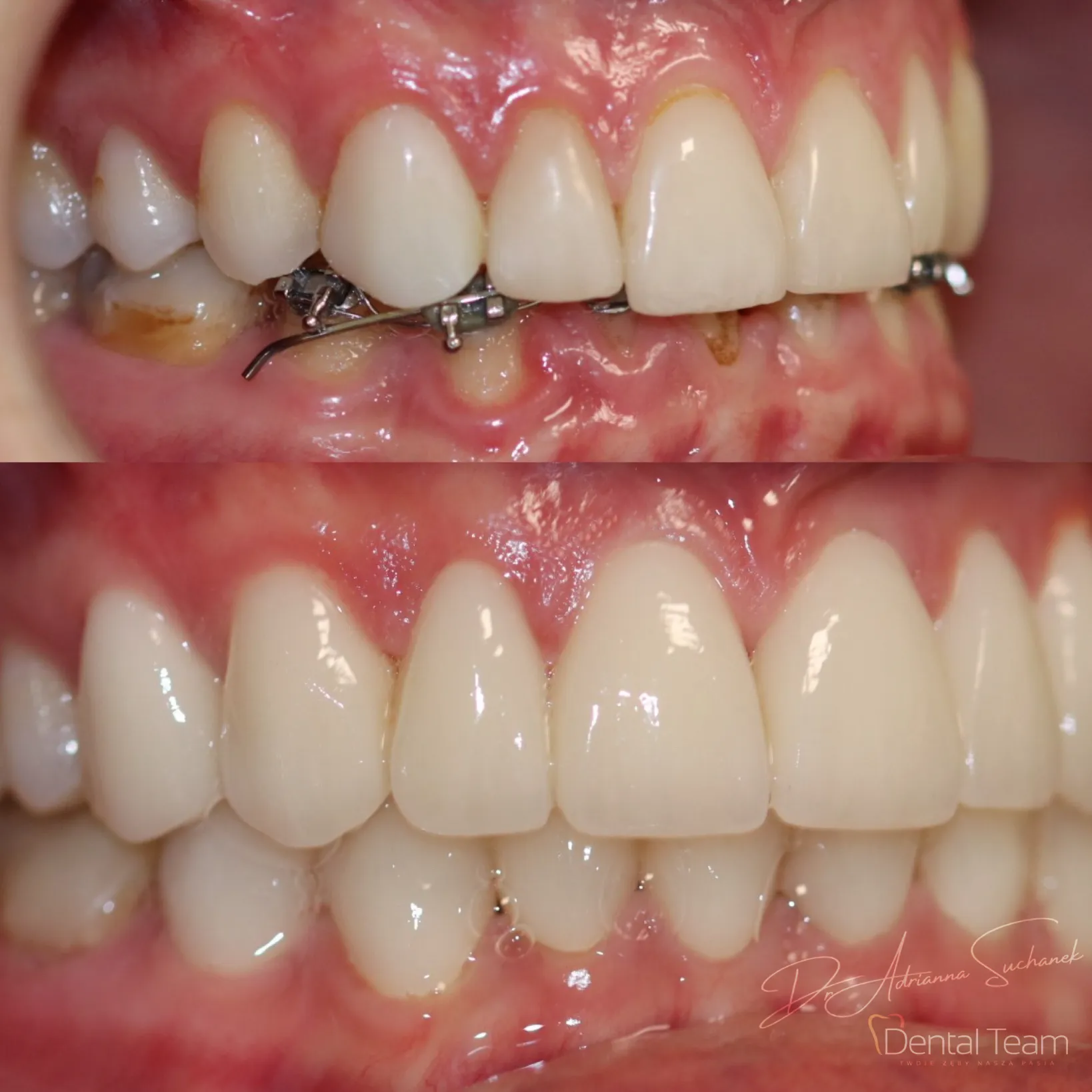
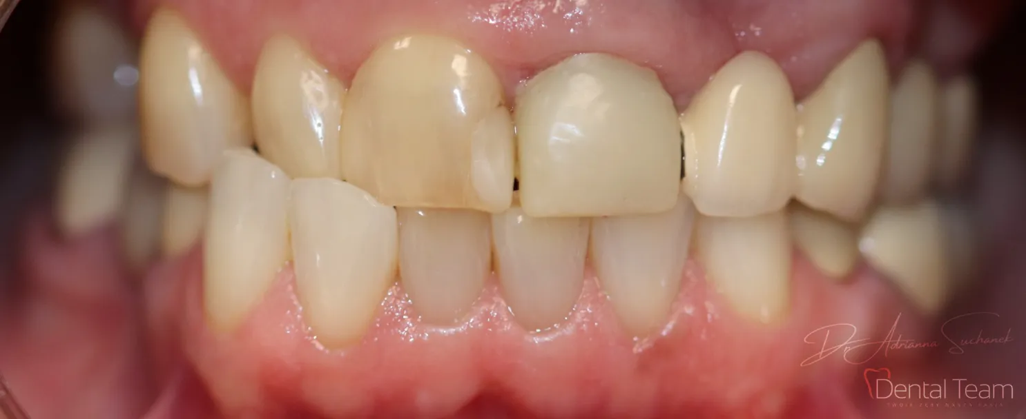
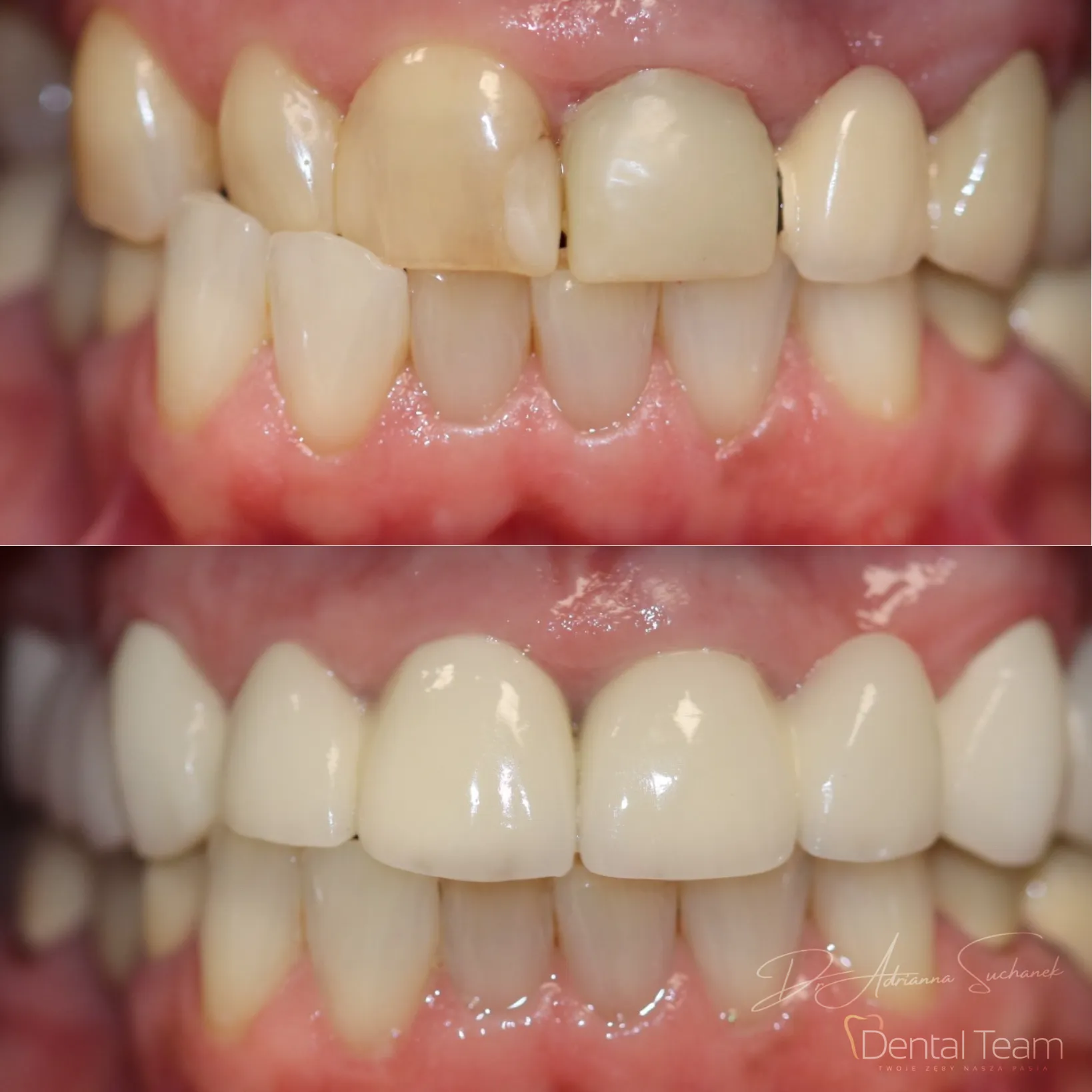
Nasza piękna Pacjentka zgłosiła się do Dental Team celem odbudowy zębów.
Problemy z jakimi się zmagała to:
- wiele braków zębowych
- ciemny kolor zębów
- starte i nieestetyczne zęby przednie
Pacjentka chciała koron, które naprawdę przypominałyby naturalne zęby. Aby osiągnąć taki cel współpracowaliśmy z naszymi wysoce wykwalfikowanymi ceramistami, który skupili się na kluczowych elementach takich jak przeźroczystość, faktura, gradacja koloru i naturalne linie. To wszystko sprawiło, że rezultatem jest piękny, realistyczny uśmiech, a Pacjentka jest zachwycona transformacją.
Nowy uśmiech, który funkcjonuje przez lata
Nasz Pacjent nie był zadowolony z wyglądu swoich zębów. Po wnikliwej konsultacji i diagnostyce zaprojektowaliśmy dla Pana uśmiech, , który idealnie pasował do twarzy i całej aparycji . Zamknięcie luk oraz odbudowa zgryzu spowodowały, że uśmiech rozjaśnił się, a Pacjent wygląda przynajmniej o dekadę młodziej. Pacjent dostał uśmiech, który będzie stabilnie funkcjonował przez lata
Piękny uśmiech nigdy nie wyjdzie z mody
Pacjentka zgłosiła się do naszego gabinetu z następującymi problemami:
- przebarwienia zębów po leczeniu kanałowym
- stary most, wykonany lata temu w innym gabinecie, który odsłaniał ciemne szyjki zębów
- zęby w zgryzie krzyżowym.
Pacjenta zgłaszała, że jej uśmiech jest cięzki i pozbawiony witalności.
Dzięki 2 tygodniowej pracy Dental Team zdołaliśmy przywrócić Pacjentce piękny uśmiech. Proszę o zwrócenie uwagi na szersze, bardziej symetryczne ustawienie zębów po prawej i lewej stronie.
Bonding, czyli bez ubytku tkanek zęba
Choć rezultaty są spektakularne i często zmieniają życie- to plany leczenia w Dental Team są małoinwazyjne
Młody Pacjent zgłosił się do nas z bardzo startymi zębami, skarżąc się na bruksizm oraz napięcia w mięśniach. Po rozmowie z Pacjentem oraz wnikliwej diagnostyce zdecydowaliśmy o kompozytowej odbudowie zgryzu. Bonding-bo o tym tu mowa- to nic innego jak wysoce estetyczne odbudowy kompozytowe startych zębów.
Oto zalety bondingu:
- zabieg jest małoinwazyjny, nie wymaga szlifowania zębów
- efekt jest natychmiast po wizycie
- polecany jest u osób młodych, gdzie nie warto szlifować zębów
- szczególnie polecany u osób z bardzo startymi zębami celem odbudowy prawidłowego zgryzu
- można wykonywać zarówno małe korekty pojedynczych zębów jaki i pełne odbudowy
- ekonomiczny
Ponad to:
- zwykle zabieg nie wymaga znieczulenia, jest bezbolesny
- zabieg jest całkowicie bezpieczny, zdrowe tkanki zębów nie zostają naruszone
Pani Doktor! Cała nasza praca i wszystkie wizyty były tego warte. Po leczeniu chętniej i częściej się uśmiecham
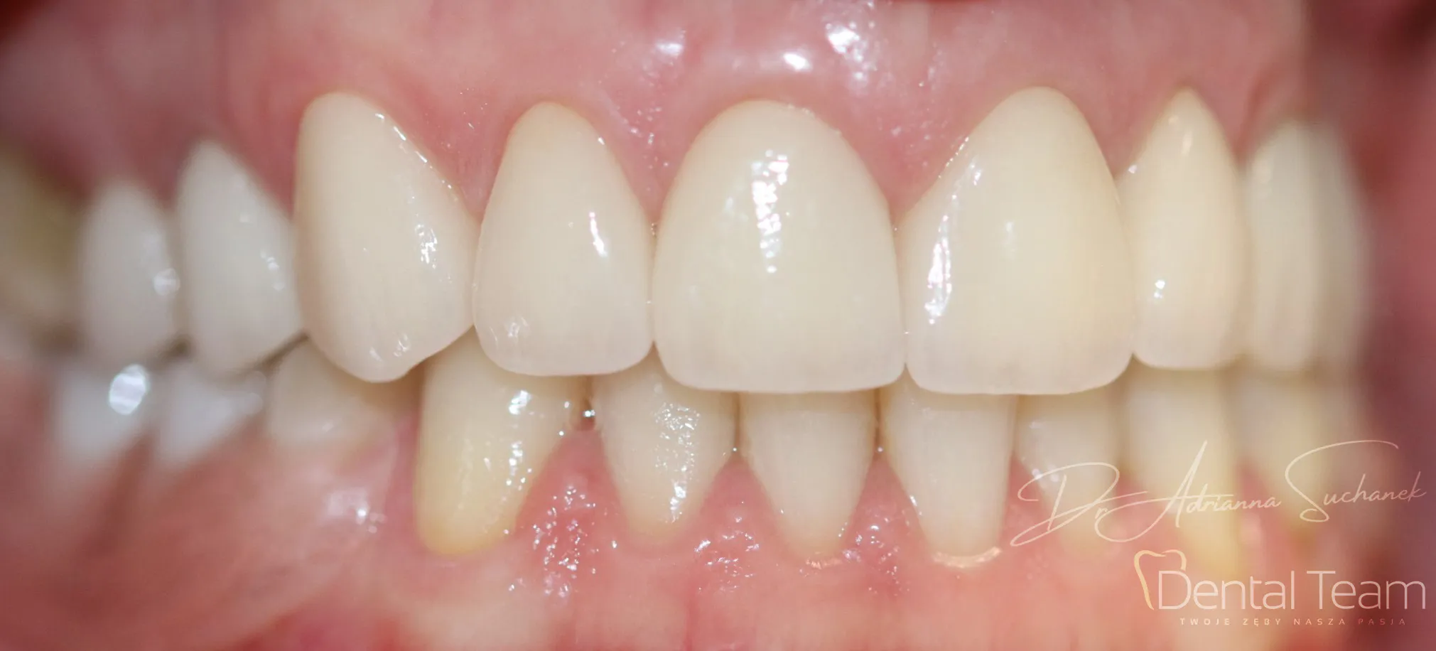
U naszej Pacjentki chcieliśmy uzyskać piękny, jasny, idealny uśmiech. Prawidłowo przeprowadzone leczenie protetyczne pozwoliło na:
- wydłużenie zębów górnych tak aby były widoczne podczas mówienia oraz w uśmiechu; uzupełnienie braków; ujednolicenie koloru zębów; wyrównanie linii uśmiechu.
Dzięki naszej pracy Pacjentka ma teraz większą pewność siebie podczas rozmów czy śmiania się Bardzo cieszymy się z takich prac ponieważ to własnie dodawanie pewności siebie i wdzięczność Pacjentów jest głębokim sensem naszej pracy 🙂
Nawet gdy nie ma kilku zębów to można zrobić stałe uzupełniania
Zagraniczny Pacjent leczył się u nas w klinice przez 2 tygodnie. Dzięki wcześniejszemu zaplanowaniu działania oraz cyfrowemu planowaniu możliwe było jak najdokładniejsze odwzorowanie prawidłowego uśmiechu.
Pacjentka zgłosiła się do gabinetu celem poprawy uśmiechu
Wykonaliśmy kompleksowe leczenie chirurgiczne, protetyczne oraz zachowawcze. Dzięki wysokiej jakości materiałów, praca protetyczna umożliwiła nam stworzenie wymarzonego uśmiechu.
Projektowanie uśmiechu to estetyka zintegrowana z funkcją
U naszego Pacjenta chcieliśmy uzyskać bielszy, trwały uśmiech, który wytrzymałby próbę czasu. Dzięki nowym uzupełnieniom protetycznym wzmocniliśmy zęby, a Pacjent zyskał nie tylko estetyczny uśmiech ale także trwałość i funkcjonalność na lata.
Metamorfoza uśmiechu w Dental Team to więcej niż tylko zęby
To kompleksowa transformacja, która zapewnia uogólnioną harmonię twarzy oraz podnosi poczucie własnej wartości. Nasi lekarze nie tworzą wszytkich usmiechów wg jednej lini produkcyjnej. Dzięki indywidualnemu podejściu do Pacjenta tworzymy nowy uśmiech z uwzględnieniem cech indywidualnych Pacjenta, tak aby nowy wygląd nie kojarzył się bezpośrednio zębami, ale z nowym odświerzonym wygladem (tak aby to był Twój uśmiech, ale lepszy).
Nowy uśmiech to często młodsza twarz
Z biegiem czasu naturalne ścieranie się, zgrzytanie zębami powoduje kurczenie się nerwów wewnątrz zębów, zmniejsza dopływ krwii do zębów co powoduje ich ciemniejszy odcień.
Dzięki miesięcznej pracy w Dental Team: wyrównaliśmy kolor zębów oraz linię uśmiechu, odtworzyliśmy prawidłową wysokość zwacia oraz zaopatrzyliśmy Panią w nowe piękne zęby. To uśmiech, którym Pacjentka będzie mogła się cieszyć przez lata.
Zamiana uzupełnień ruchomych na stałe
Nasz Pacjent był zainteresowany wyłącznie uzupełnieniami na stałe (nie wyjmowanymi) oraz naprawą startych zębów. Dzięki koronom i mostom wydłużyliśmy zęby, tak aby były widoczne podczas mówienia, rozjaśniliśmy uśmiech.
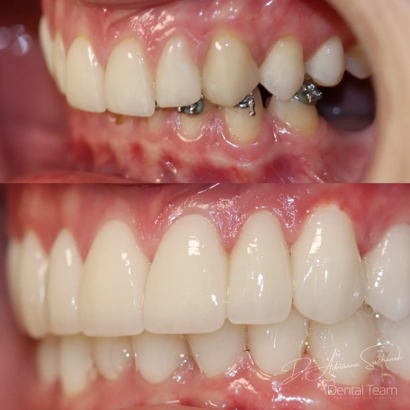
Kompleksowe leczenie szczęki górnej
U Pacjentki wykonano w celu poprawy uśmiechu kompleksowe leczenie w szczęce górnej. Celem wzmocnienia i wydłużenia zębów osadzono korony i mosty cyrkonowe licowane ceramiką. Odbudowa została wykonana na filarach zębów własnych Pacjentki .
Kompleksowe leczenie stomatologiczne pod jednym dachem w Dental Team
Nasza Pacjentka zgłosiła się do gabinetu celem leczenia zębów oraz pozbycia się ruchomej protezy. Po wnikliwej diagnostyce zaproponowaliśmy Pani kompleksowe leczenie, które obejmowało: implantację, korony i mosty cyrkonowe licowane ceramiką oraz wybielanie. Dzięki kompleksowemu leczeniu w jednym miejscu 6 wizytach nowy uśmiech naszej zadowolonej Pacjentki był już gotowy.
Cyfrowe planowanie, a nowy uśmiech
Nasza piękna Pacjentka zgłosiła się celem upiększenia uśmiechu i wzmocnienia zębów W tym przypadku miała miejsce regeneracja kości, implantacja oraz korony na implantach. Zamknięcie luk oraz odbudowa zgryzu spowodowały, że uśmiech poszerzył się i rozjaśnił się, a jednocześnie wyglada bardzo naturalnie. Pani wygląda na dużo młodszą niż w rzeczywistości. Cała praca odbywała się poprzez protokoły cyfrowe 3D oraz szablony implantologiczne, dzięki czemu okres rekonwalescencji był minimalny. Wirtualne planowanie sprawia, że praca jest bardziej przewidywalna, dokładna i szybka. W Dental Team łączymy techniki cyfrowe i analogowe tak aby efekt był jak najbardziej naturalny i utrzymywał się przez jak najdłuższy czas.
Zmiana uśmiechu spowodowała również wzrost pewności siebie u Pacjentki – i oto nam chodziło!
Spektakularna zmiana u Pacjenta zagranicznego
Przedstawiamy Państwu kolejną metamorfozę u naszego Pacjenta. Całość (górna i dół) obejmowała 4 wizyty, ale ze względu na to, że Pacjent daleko mieszka (Anglia) wizyty zostały rozłożone na raty. W trakcie naszej przemiany Pacjent był zaopatrzony w bezawaryjne korony tymczasowe.
Dzięki temu, że w Dental Team mamy pełen wachlarz usług stomatologicznych całość leczenia odbyła się w jednym miejscu tzw „pod jednym dachem”.
Leczenie protetyczne to często uzupełnienie leczenia ortodontycznego
Na konsultację protetyczną zgłosiła się do nas Pacjentka po leczeniu ortodontycznym. Pacjentka pojawiła się z wieloma protblemami stomatologicznymi: -zgryz głęboki leczony ortodontycznie jest ponad 5 lat; licówki na zębach górnych z widoczną granicą preparacji; niewidoczne zęby górne podczas mówienia oraz różne koloru zębów ; braki zębów bocznych.
Podczas leczenia, które trwało 1,5 miesiaca zostały wykonane pełnoceramiczne uzupełniania protetyczne na zębach górnych i dolnych.
Wspólnie z Pacjentką uzyskaliśmy:
- prawidłowy zgryz
- zamkniliśmy luki między zębami dolnymi
- zęby są jasne, jednolite, wygladają zdrowo oraz bardzo naturalnie
Spełniła Pani moje wieloletnie marzenie!
Pacjentka zgłosiła się do naszego gabinetu celem leczenia kompleksowego . Podczas konsultacji i rozmowie o oczekiwaniach Pacjentka wyznała, ze chce aby jej uśmiech był idealny i biały. Dzięki skanowaniu wewnątrzustenu oraz projektowni uśmiechu w 3D, pokazaliśmy Pacjentce jak może wygladać jej uśmiech po leczeniu. Aby osiągnąć harmonię twarzy i uśmiechu u Pacjentki wydłużyliśmy zęby górne oraz stworzyliśmy równoległe linie pomiędzy źrenicami, ustami , a zębami.
Projektowanie uśmiechu to estetyka zintegrowana z funkcją
Odbudowa kompozytowa zgryzu oraz korony pełnoceramiczne.
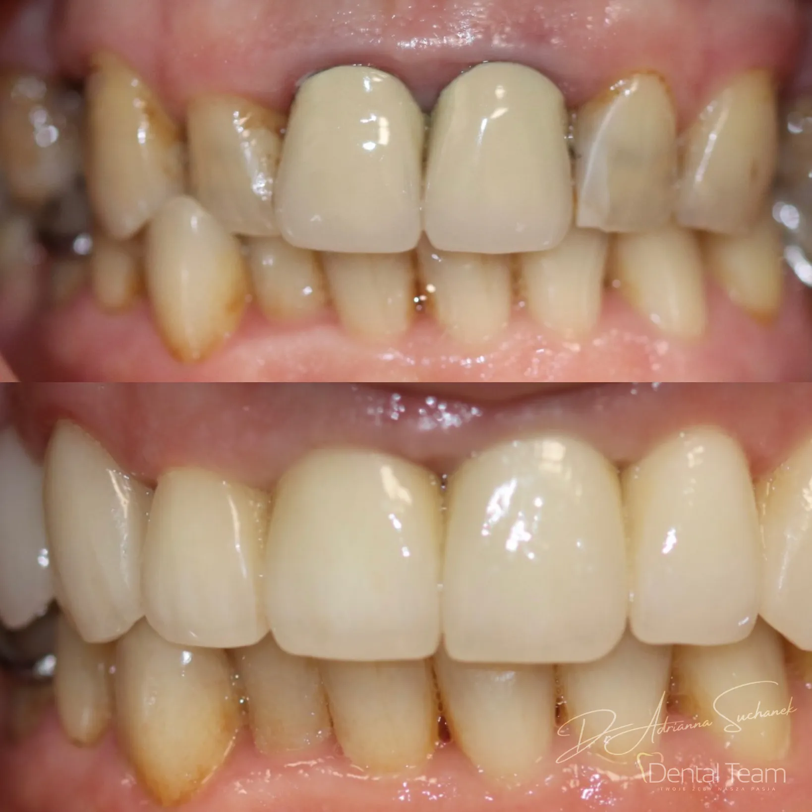
Pacjent zgłosił się do naszego gabinetu celem poprawy estetycznej jaki i funkcjonalnej swojego uśmiechu.
Problemami Pacjenta były:
- różne kolory zębów;
- zęby osłabione leczeniem kanałowym;
- starte zęby
Pana przypadek wymagał kompleksowego leczenia, a efekt w naszej ocenie jest spektakularny. Dzięki dbałości o dobór ceramiki oraz intertyscyplinarnemu leczeniu w Dental Team Pacjent cieszy się jednolitym młodzieńczym i zdrowym uśmiechem, a przede wszystkim dobrym samopoczuciem.
Wybielanie oraz korony i mosty pełnoceramiczne
Pacjentka zgłosiła się do gabientu celem pozbycia się protezy górnej. Po wnikliwej ocenie CBCT Pacjentki zaprojektowaliśmy dla Pani nowy uśmiech. Dzięki zastosowaniu mostów i koron wzmacniliśmy już istniejące zęby oraz uzupełniliśmy braki. Aby całość była harmonijna i jaśniejsza dolny łuk został małoinwazyjnie wybielony. Rezultatem jest bardziej estetyczny, rozszerzony uśmiech współpracujący z aparycją Pacjentki. Kolor zębów jest jednolity, twarz stała się bardziej wydłużona i młodsza.

Nasze gabinety posiadają bardzo dobrą lokalizację dojazdową – zarówno samochodem jak i komunikacją miejską. W pobliżu obiektów znajdują się bezpłatne parkingi (z miejscami dla osób niepełnosprawnych) oraz przystanki komunikacji miejskiej KZK-GOP. Wszystkie nasze budynki dostosowane są w pełni dla osób niepełnosprawnych (posiadamy, podjazdy, prywatne windy, osprzęt pomocniczy).